Diagnóstico e planeamento

Casos clínicos

Primeira Consulta
Recolha de todos os dados necessários ao diagnóstico:
  1. Exame clínico
  2. Radiografias
  3. Fotografias
  4. Modelos das arcadas.
  5. Pedido de exames ( TACs ) complementares se necessário.

Após toda a informação recolhida serão apresentadas e discutidas as melhores opções de tratamento com o paciente.

Depois será fornecido um plano de tratamento com um orçamento para a sua execução.

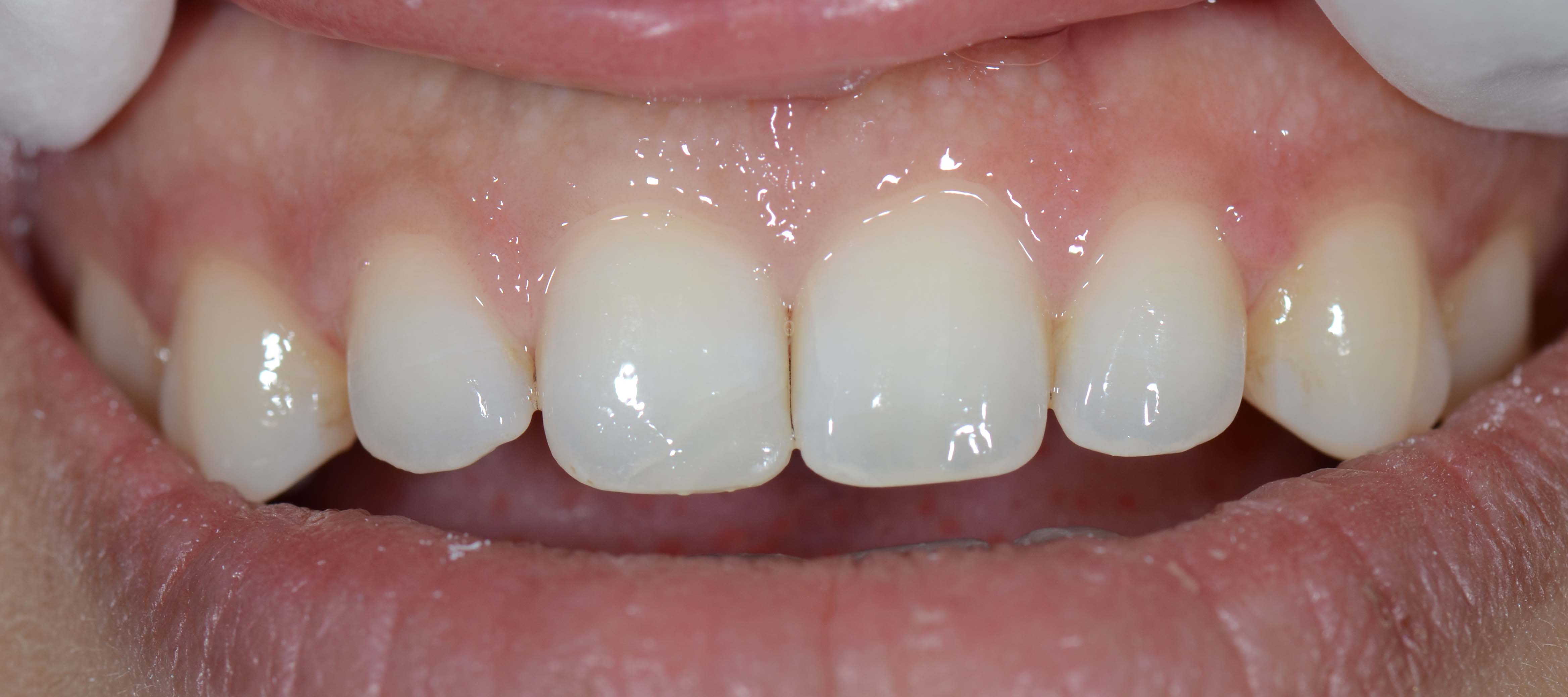
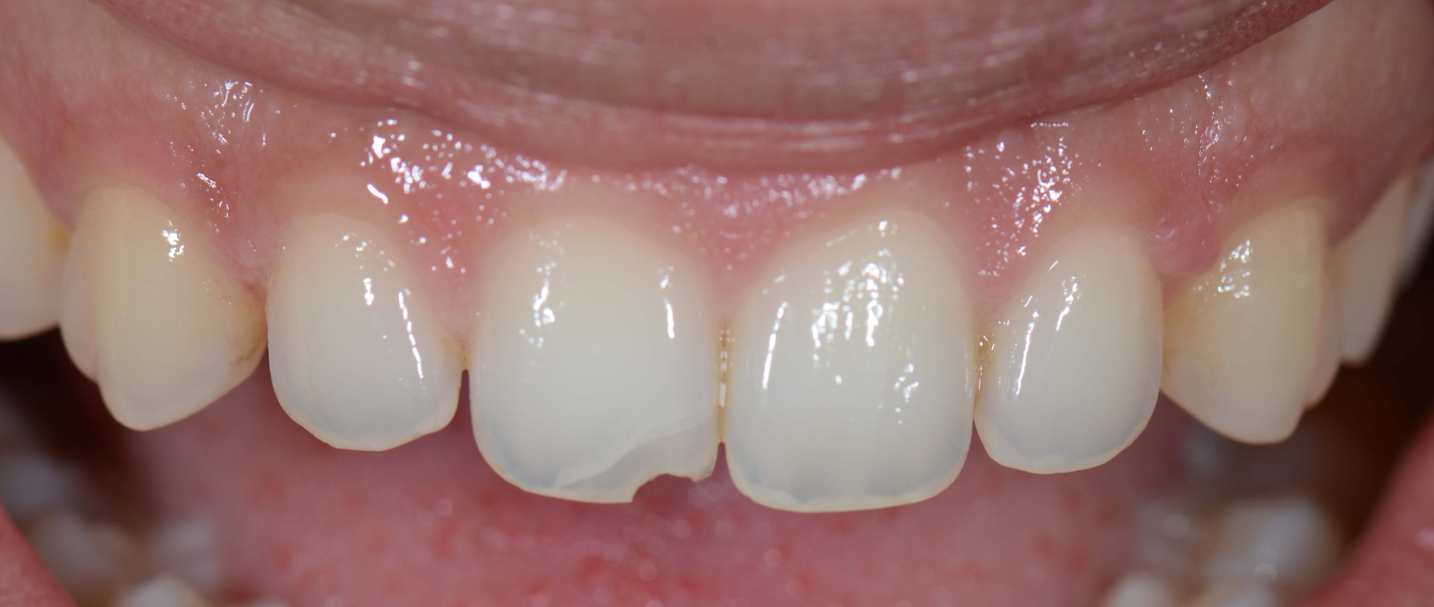
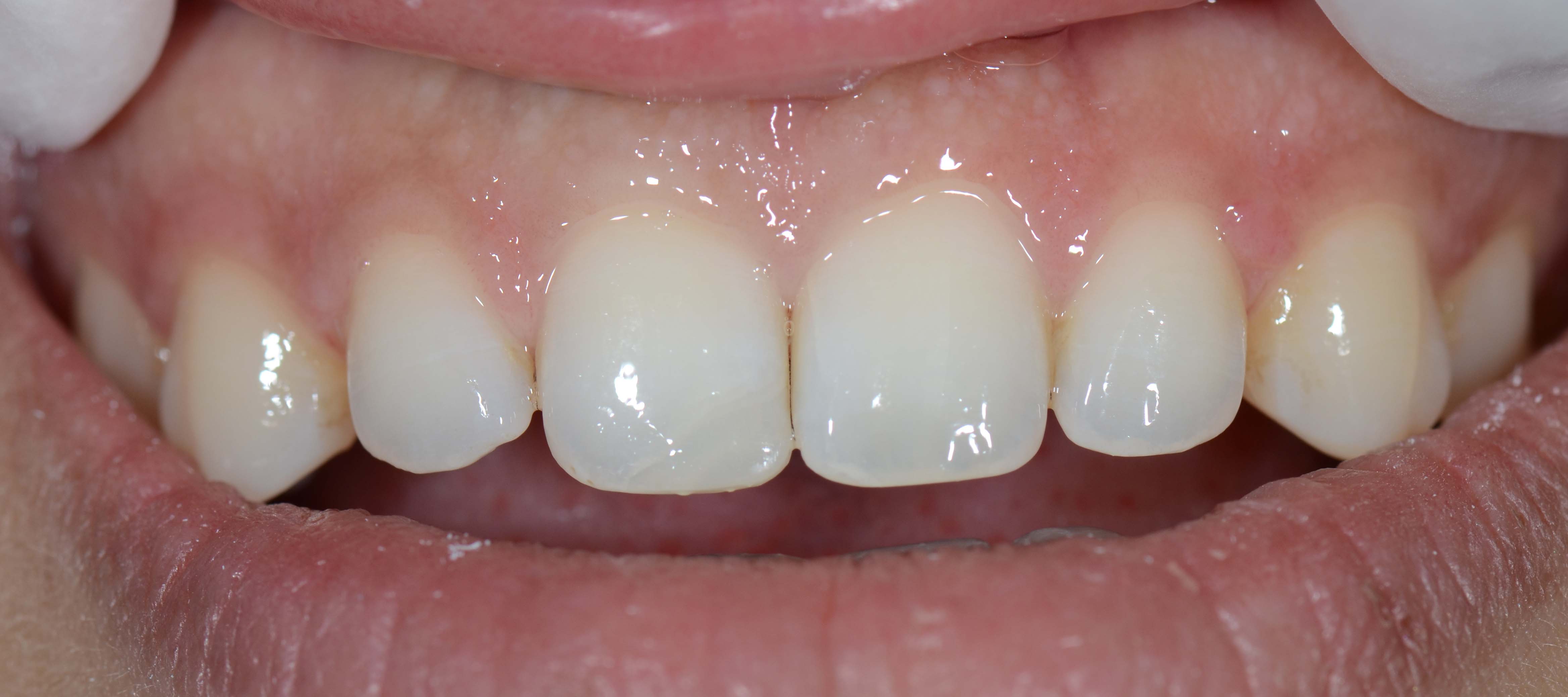
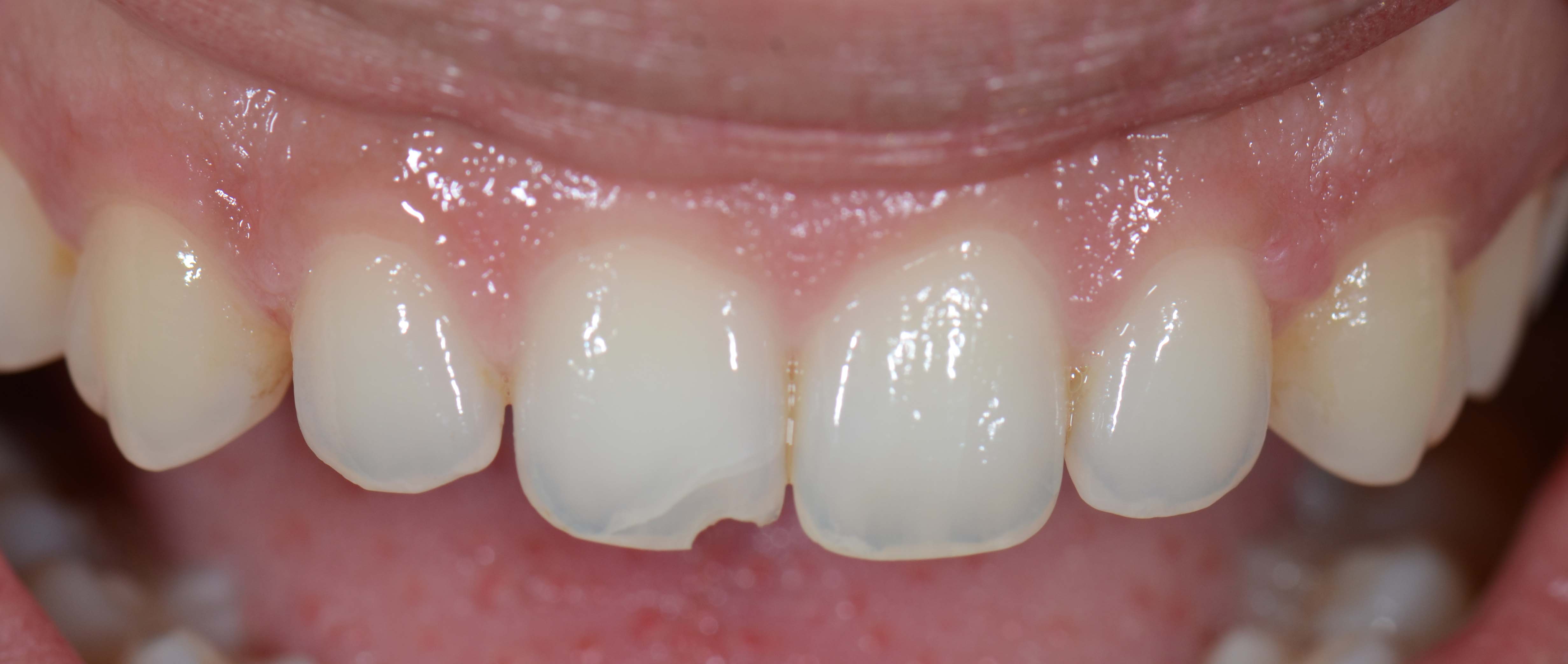
Tratamentos urgentes serão executados se necessário, como no caso à esquerda. 
SOS