Home
Clínica
Sobre nós
Consulta
Área Científica
Perguntas Frequentes
Livro de Reclamações
C. Endodontia
Centro Endodontia - Info
Corpo clínico
Serviços
Contactos
menu
Consulta
close
Home
Clínica
Sobre nós
Consulta
Área Científica
Perguntas Frequentes
Livro de Reclamações
C. Endodontia
Centro Endodontia - Info
Corpo clínico
Serviços
Contactos
Consulta
Estética dentária
Casos clínicos
Voltar
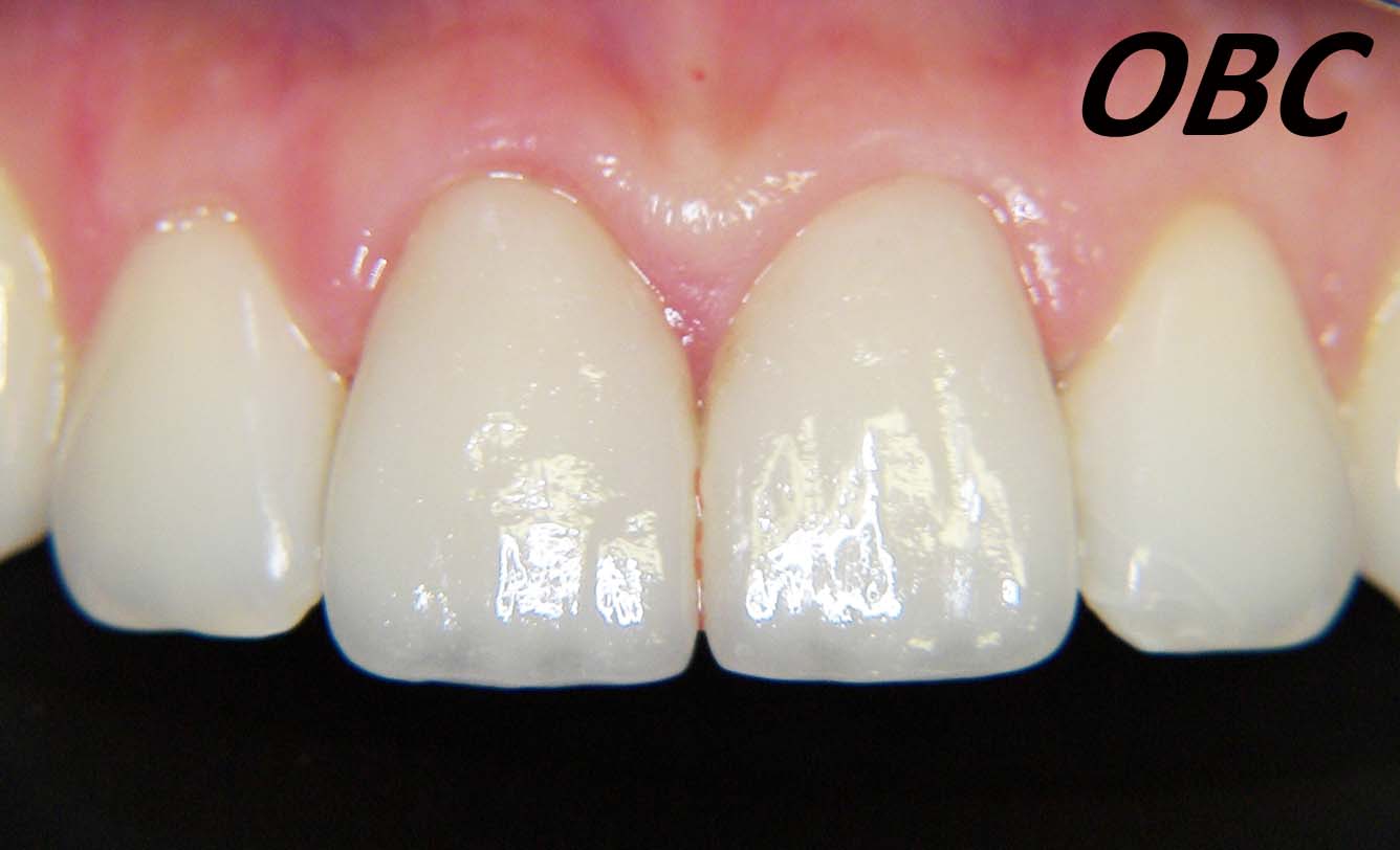
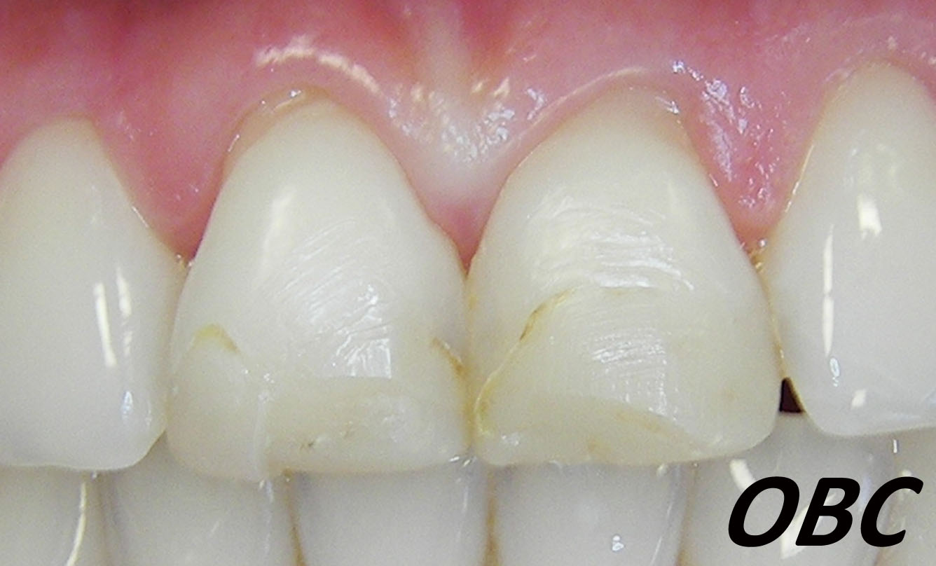
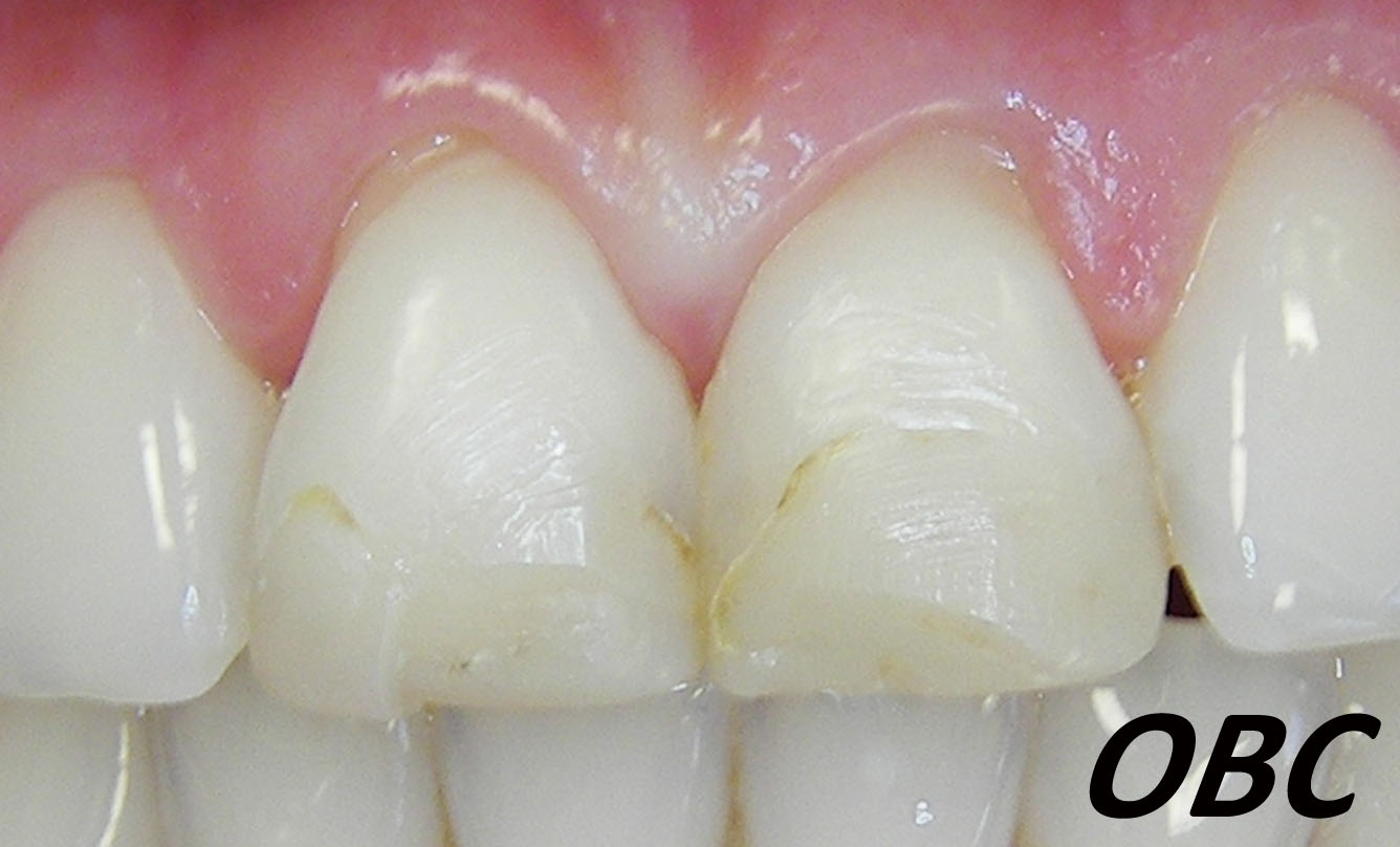
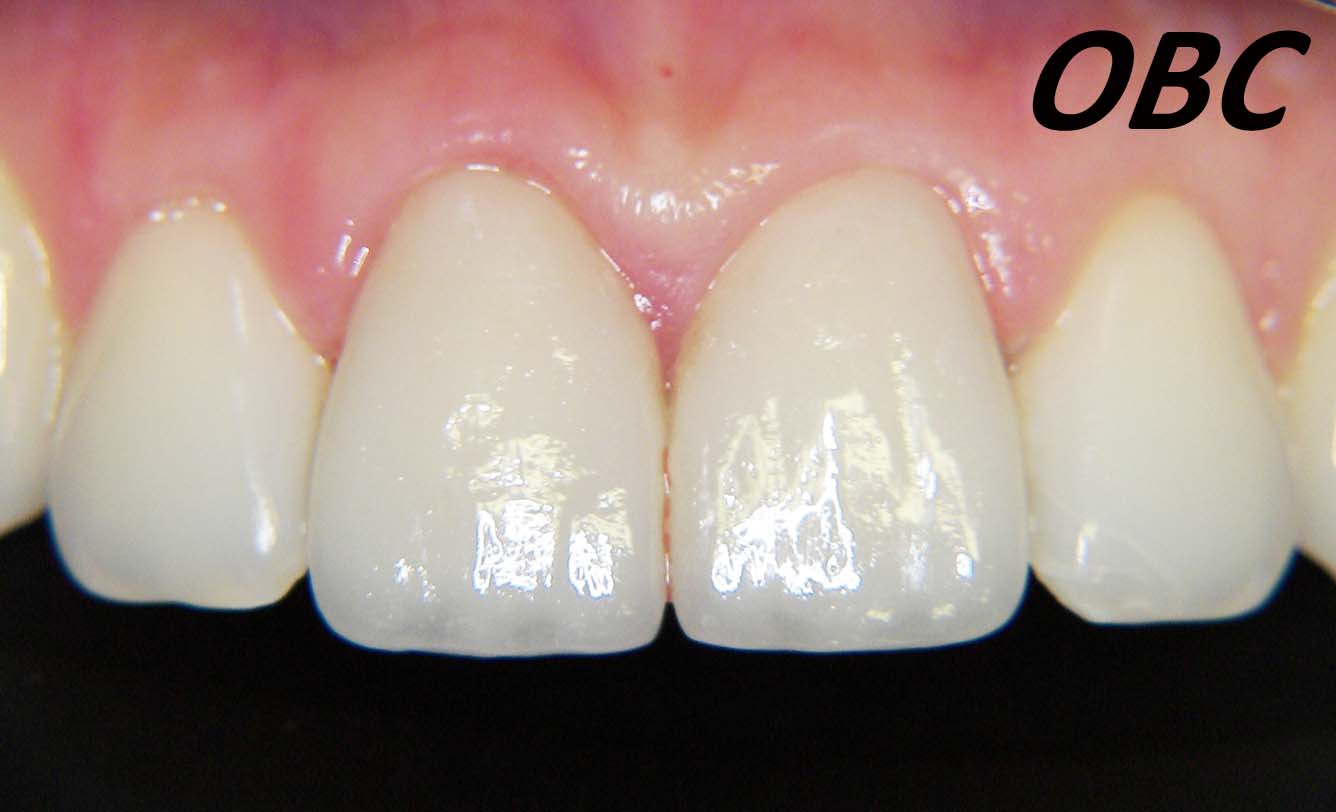
Facetas nos dois incisivos centrais
Incisivos com restaurações antigas muito deficientes.
Opção por
facetas cerâmicas
, altamente estéticas e de longa duração.
Branqueamento Interno
Incisivo central com alteração de cor por traumatismo antigo.
Resultado após uma sessão de branqueamento.
fullscreen
SOS