Ortodontia

Casos clínicos

Invisaligne - Aparelhos Invisíveis
Esta técnica permite uma correcção Ortodôntica sem a utilização de brackets na maioria dos casos. 

É praticamente invisivel e permite uma higiene muito mais cuidada do que a ortodontia convencional. 

Quando indicada é uma solução muito eficaz, de facil utilização pelo paciente, e alternativa aos aparelhos fixos com Brackets. 

Peça uma opinião, ao nosso serviço de Ortodontia.

 
Tratamento Ortodôntico Precoce
À maioria das crianças com problemas ortodonticos não devem ser prescritos aparelhos antes da erupção dos dentes definitivos (10 - 12 anos).

Varias razões justificam a não utilização de ortodontia antes dessa idade:
1º- aumenta muito o tempo total (vários anos) de aparelhos em boca,  tendo como consequência a desmotivação do paciente e familias.
2º- pode aumentar a incidência de caries ou descalcificações visto ser mais dificil a higienização dentária com aparelhos (quanto mais tempo pior).
3º- a maioria das vezes é totalmente desnecessária.

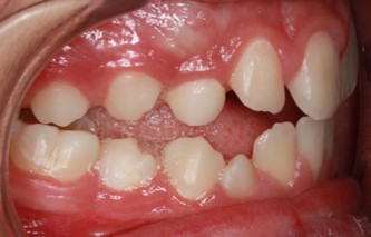
No entanto o tratamento precoce pode e deve ser considerado em casos muito específicos.  Em casos mais complexos e após uma boa avaliação dos prós e contras pode ser muito importante o tratamento iniciar um pouco mais cedo que o habitual.  

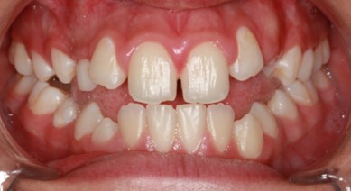
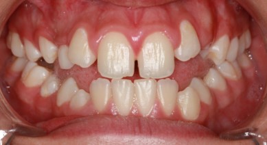
Neste caso o inicio de tratamento aos 7 anos em dentição mista (dentes de leite  e definitivos ao mesmo tempo). Pretendeu-se influenciar o crescimento da face e da erupção dentária no sentido mais favorável, tornando o tratamento em dentição definitiva (10 - 12 anos) mais simples e previsivel. 
 
Aparelho Fixo - Brackets
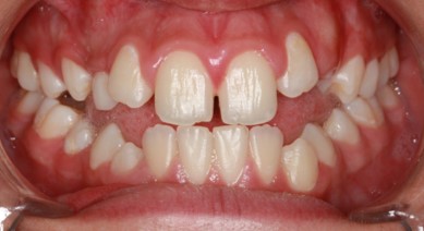
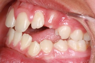
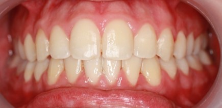
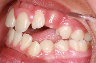
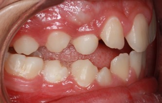
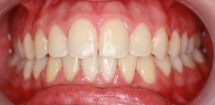
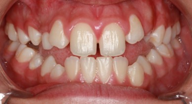
Paciente do sexo feminino 12 anos (Inicio do tratamento) 

Problema Ortodontico com mordida aberta, problemas, estéticos, funcionais (fala, mastigação, etc), e psicologicos (auto estima).

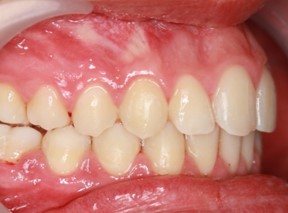
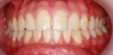
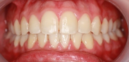
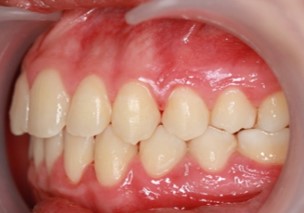
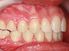
Tratamento terminado 2 anos e meio depois.
SOS