Home
Clínica
Sobre nós
Consulta
Área Científica
Perguntas Frequentes
Livro de Reclamações
C. Endodontia
Centro Endodontia - Info
Corpo clínico
Serviços
Contactos
menu
Consulta
close
Home
Clínica
Sobre nós
Consulta
Área Científica
Perguntas Frequentes
Livro de Reclamações
C. Endodontia
Centro Endodontia - Info
Corpo clínico
Serviços
Contactos
Consulta
Prótese fixa
Casos clínicos
Voltar
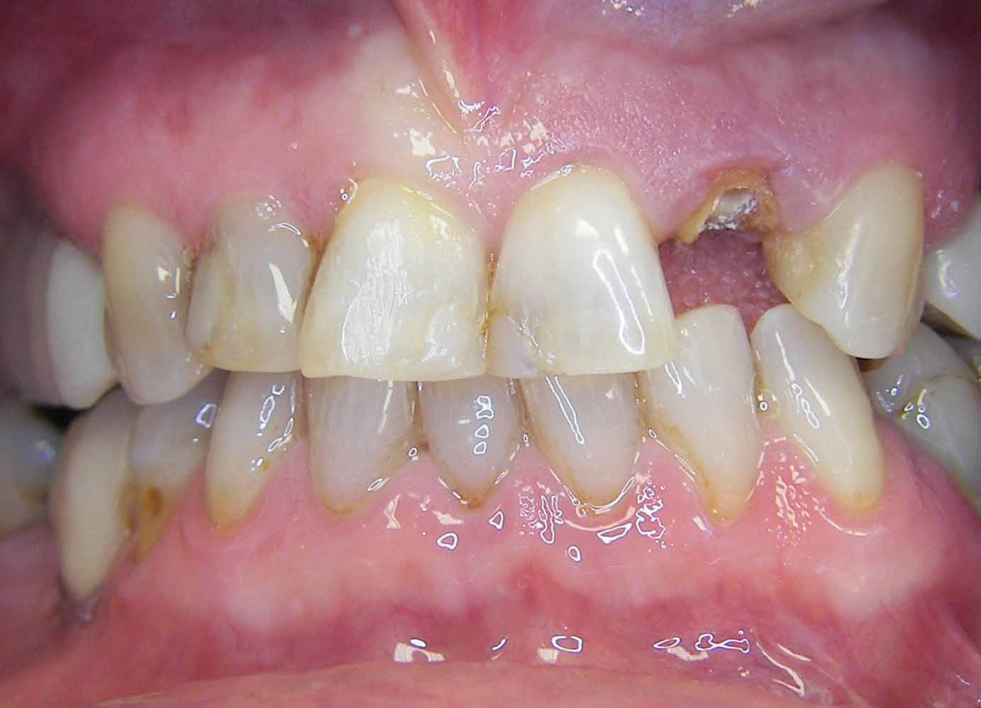
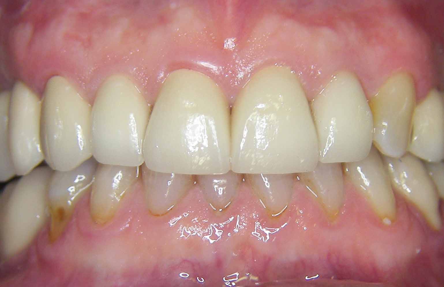
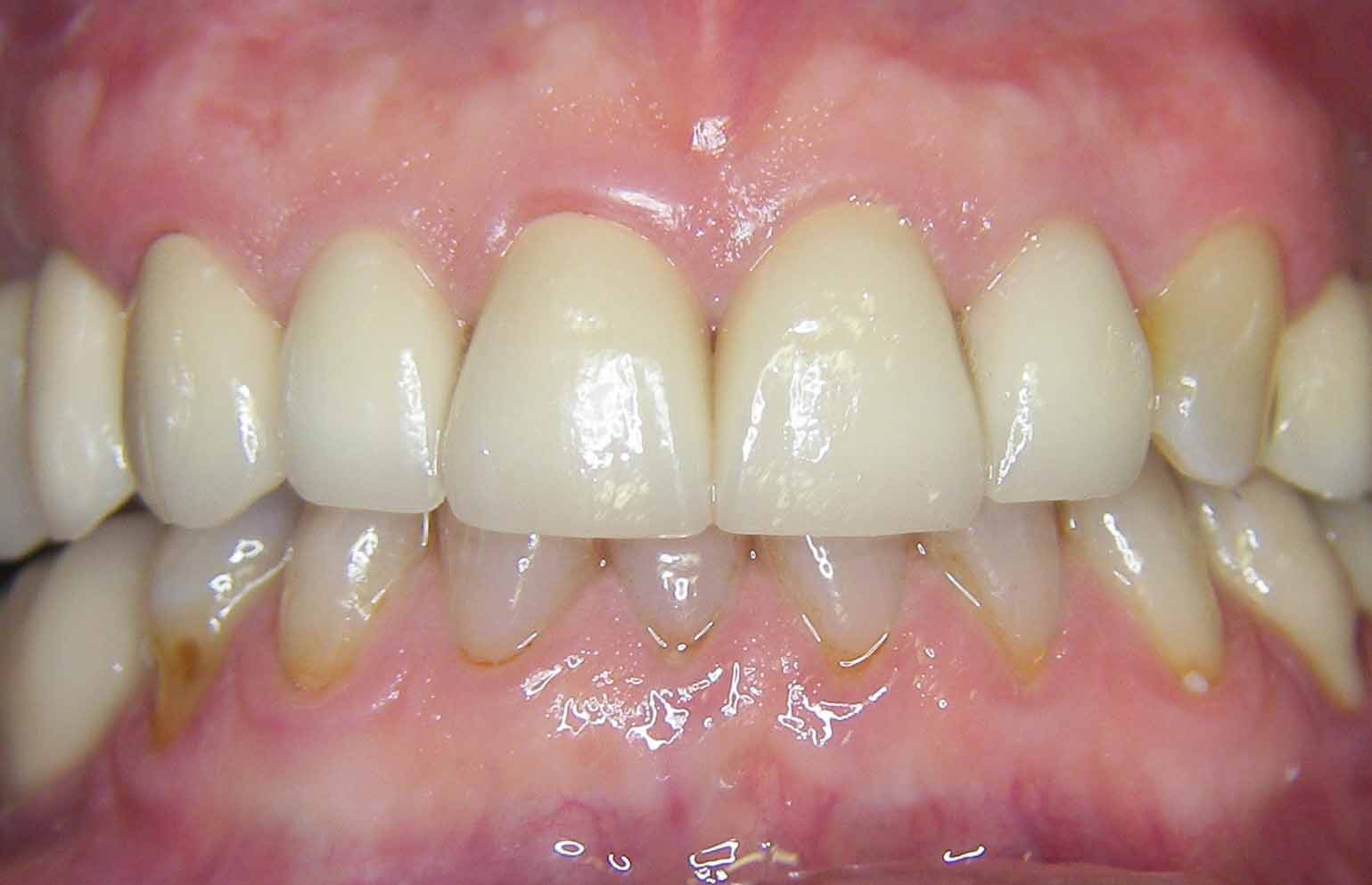
Coroas Cerâmicas
Coroas fixas em cerâmica nos dentes anteriores superiores.
SOS