Reabilitação oral

Casos clínicos

Reabilitação com Cerâmicas
Coroas Cerâmicas sobre Dentes e Implantes

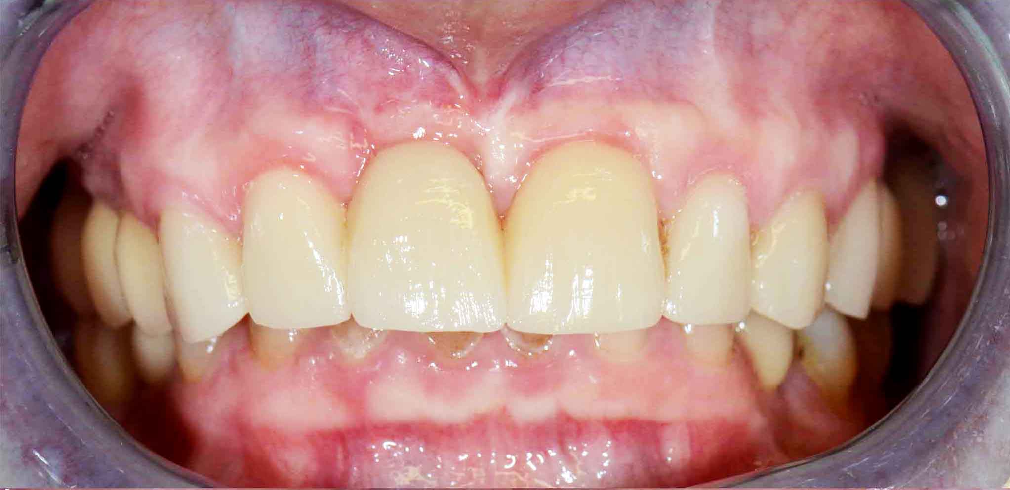
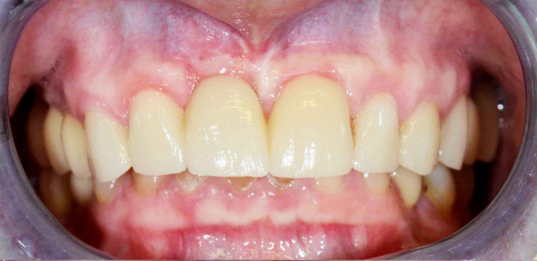
Paciente com limitações funcionais e estéticas graves

Reabilitação Complexa - Tratamento 

Mantiveram-se os dentes naturais remanescentes que tinham bom prognóstico e com Aparelho Ortodôntico fixo foram corrigidas as suas posições.
Posteriormente foi feita cirurgia para colocação de alguns Implantes.
Finalizou-se com colocação de Coroas Cerâmicas.
 
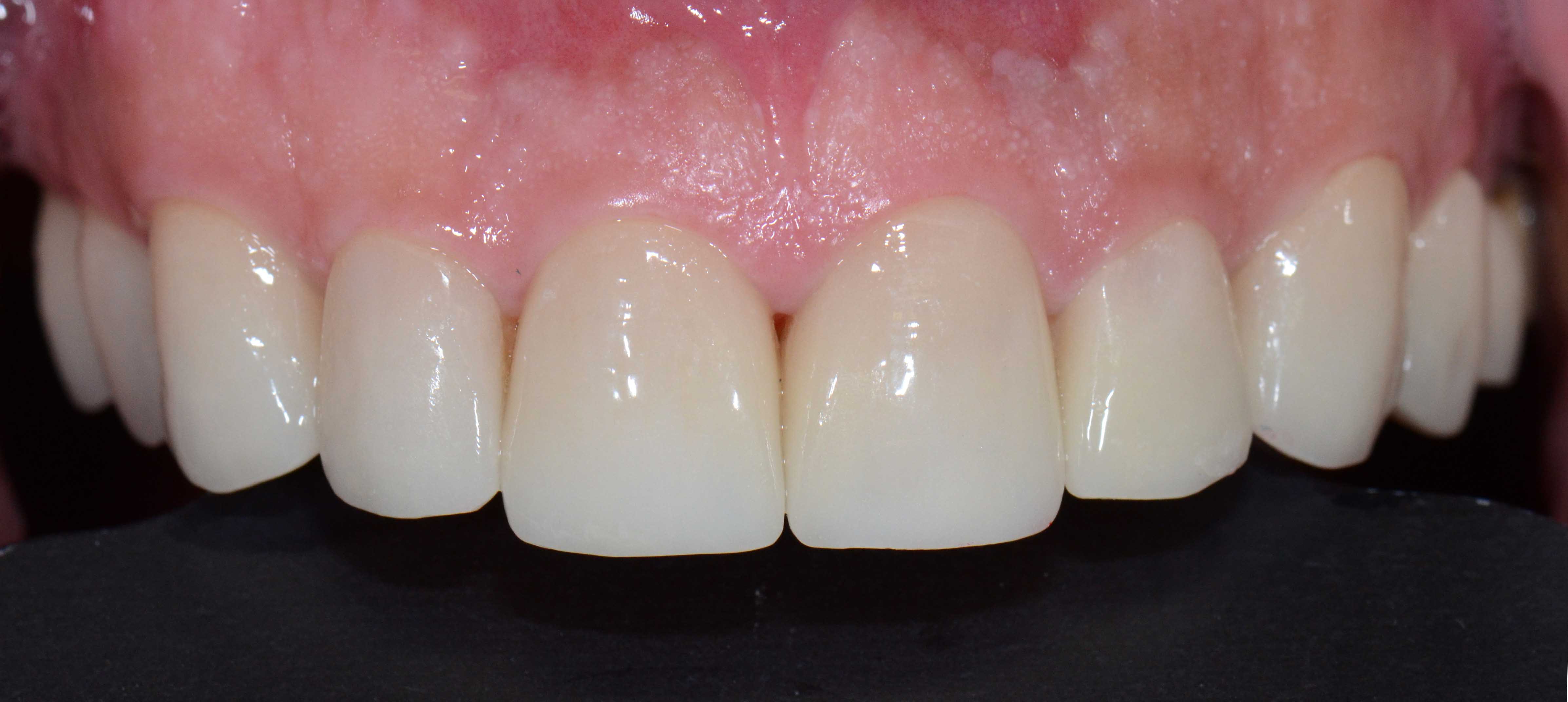
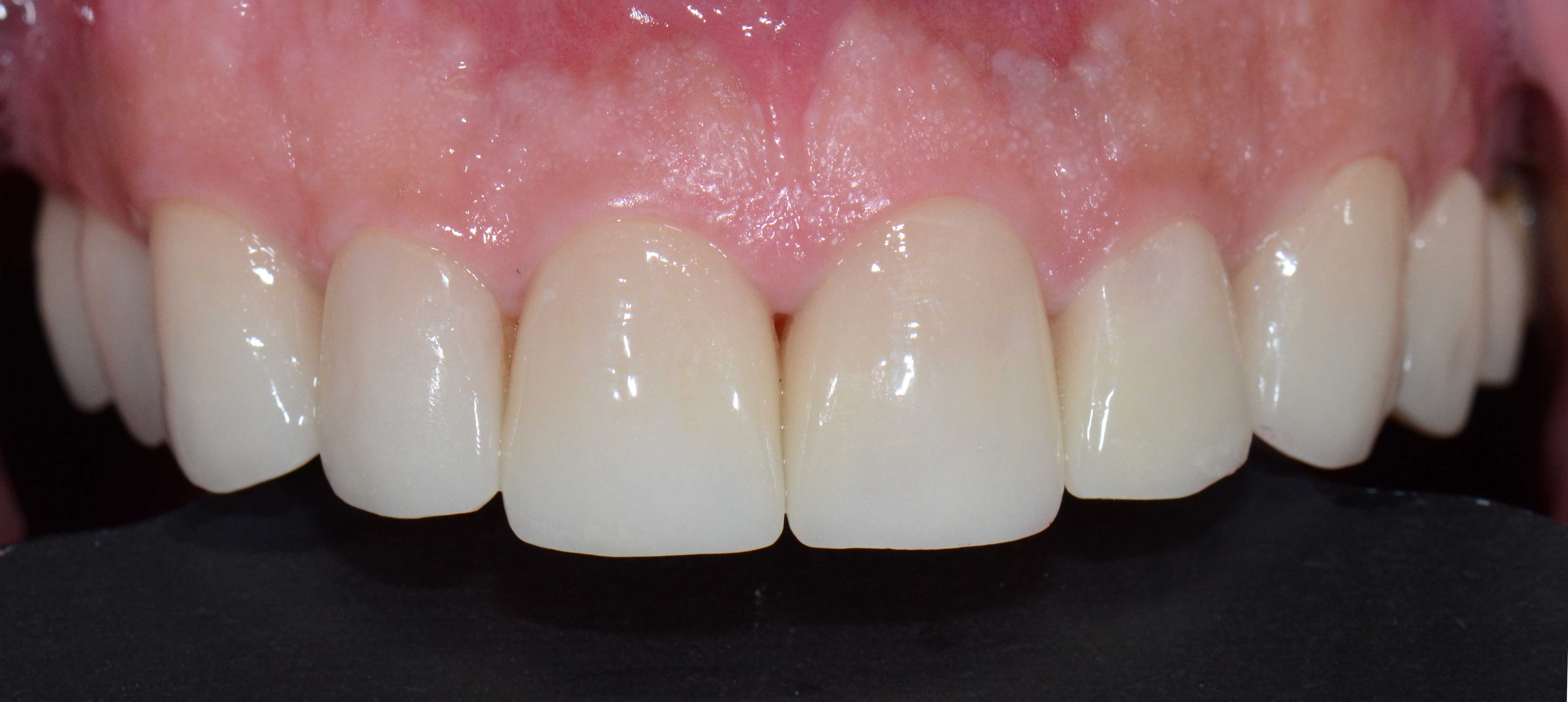
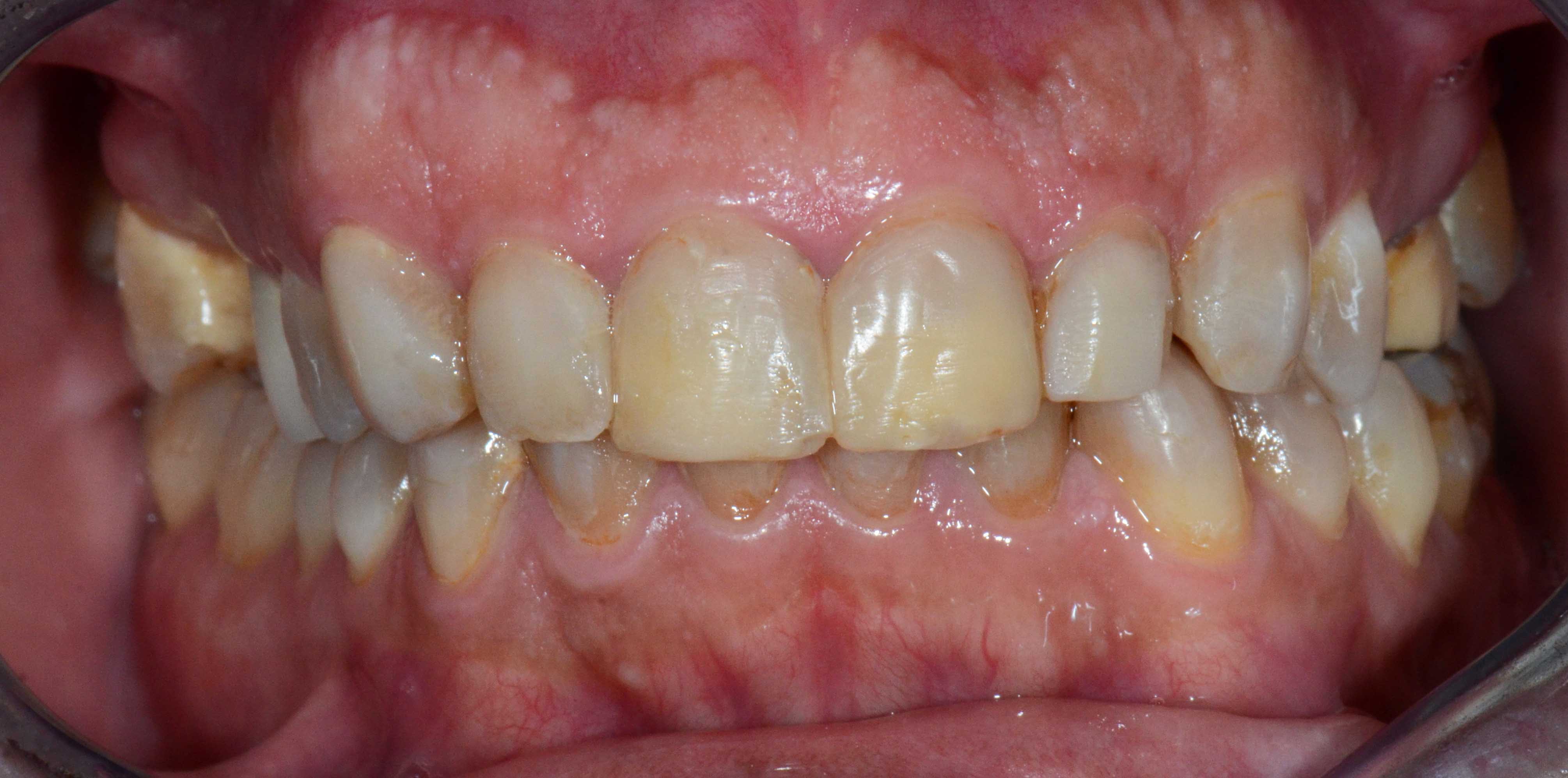
Alterações de Cor por Tetraciclinas

Reabilitação Estética com Coroas e Facetas Cerâmicas.
 

Problema Principal

Alterações de cor devido a utilização de Tetraciclinas em criança. Vários tratamentos feitos ao longa da vida para disfarçar o problema sem resultados satisfatórios.
 

Tratamento

Opção por recobrimento dentário com coroas nos dentes mais destruidos e de facetas naqueles menos atingidos evitando desgastes muito agressivos.



 
SOS