Home
Clinic
About Us
Appointments
Scientific Area
FAQS
Complaints book
Endodontic Center
Endodontic Center - Info
Staff
Services
Contacts
menu
Appointments
close
Home
Clinic
About Us
Appointments
Scientific Area
FAQS
Complaints book
Endodontic Center
Endodontic Center - Info
Staff
Services
Contacts
Appointments
Dental aesthetics
Clinical cases
Go back
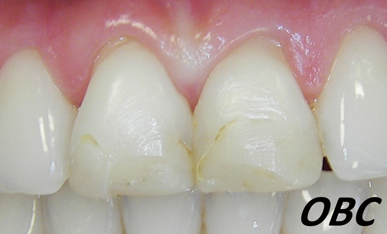
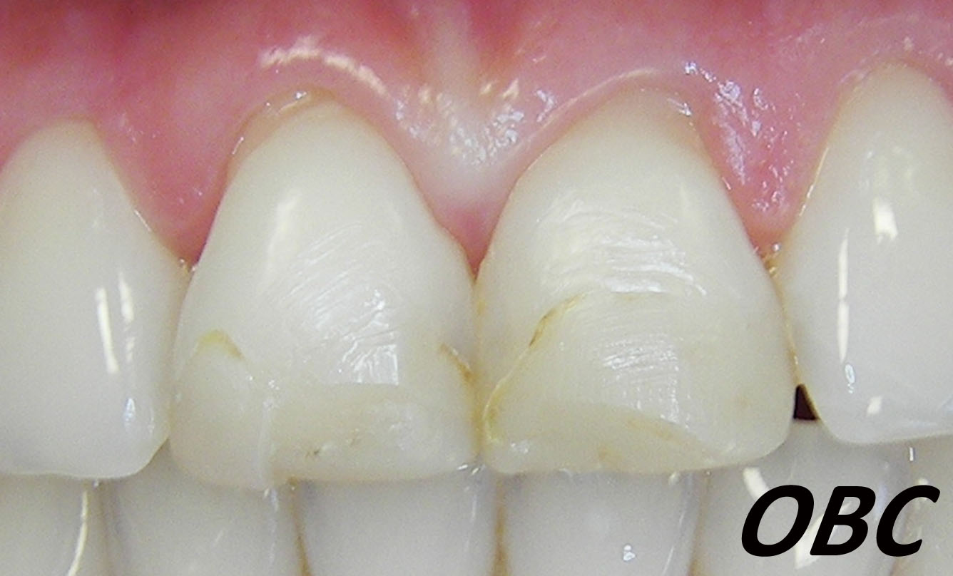
Central incisors Venners
Venners
on the two front incisors
Incisors with deficient old restorations.
Ceramic Venners were used because of their excellent aesthetic and long term longevity
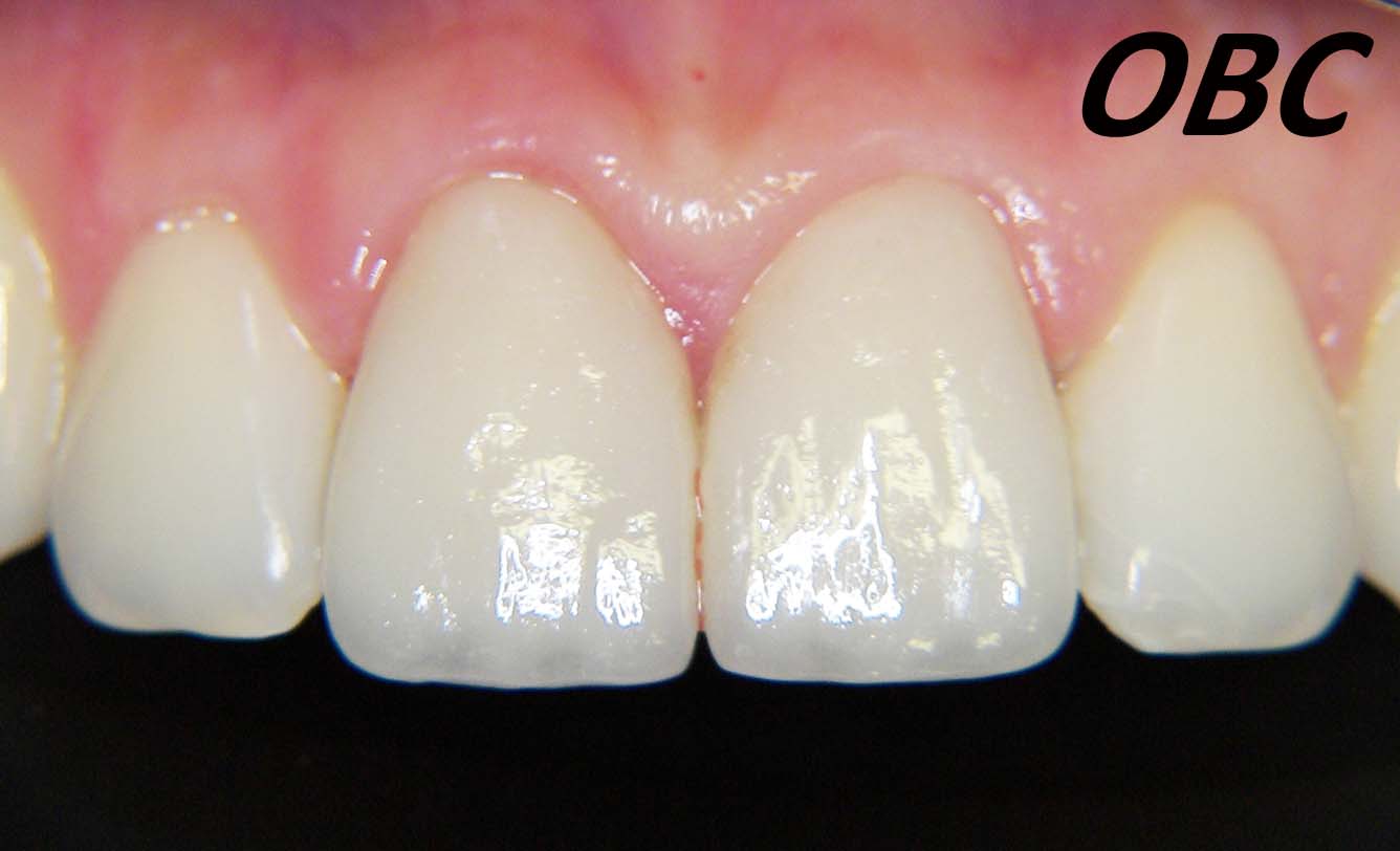
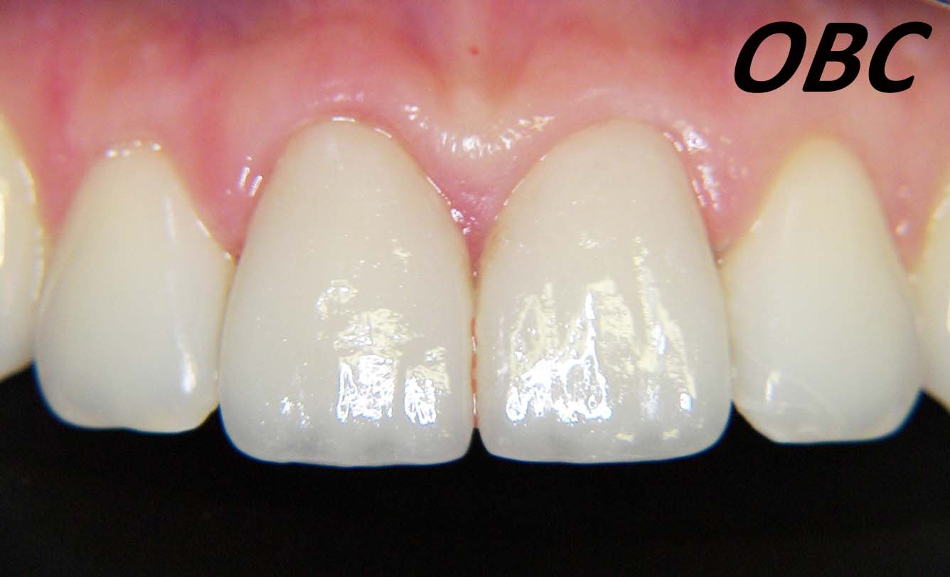
Internal bleaching
Central incisor with color change due to old traumatic injury.
The result after a bleaching session.
fullscreen
SOS