Diagnosis and treatment planning

Clinical cases

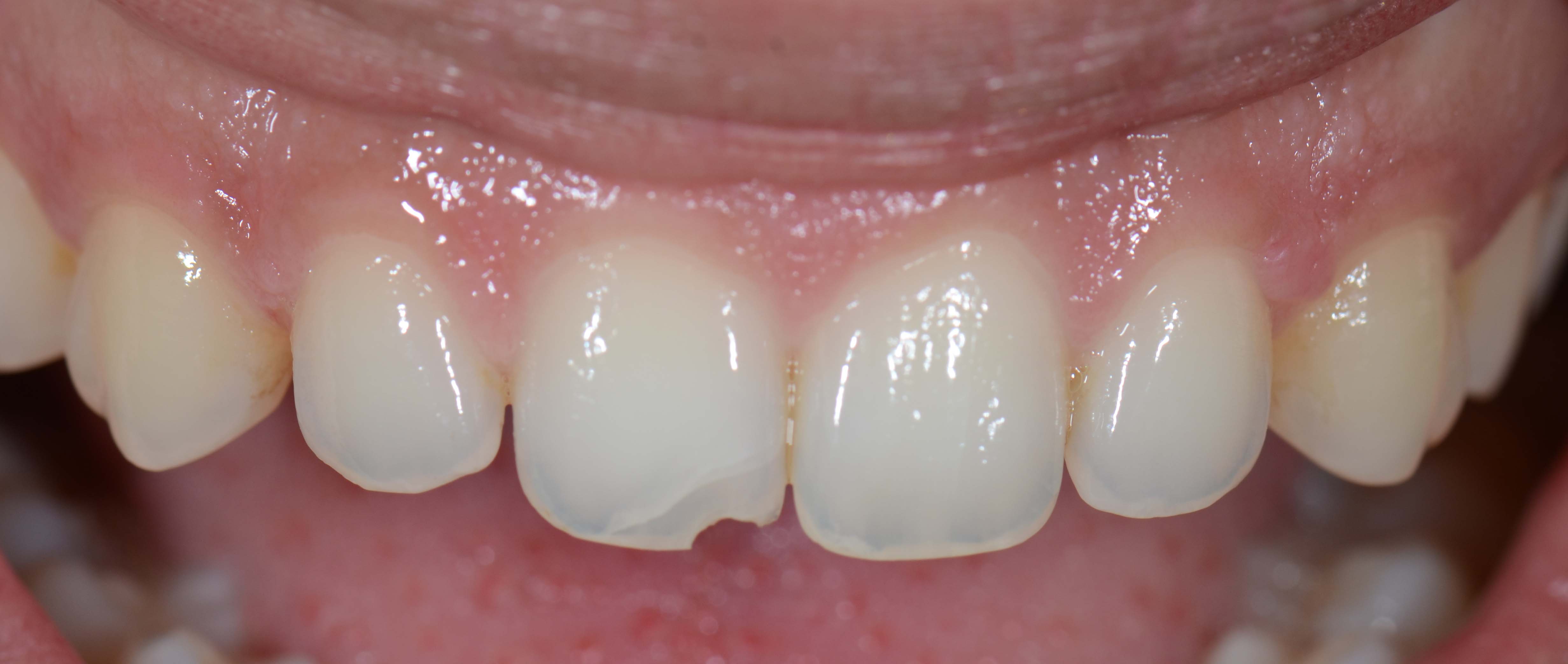
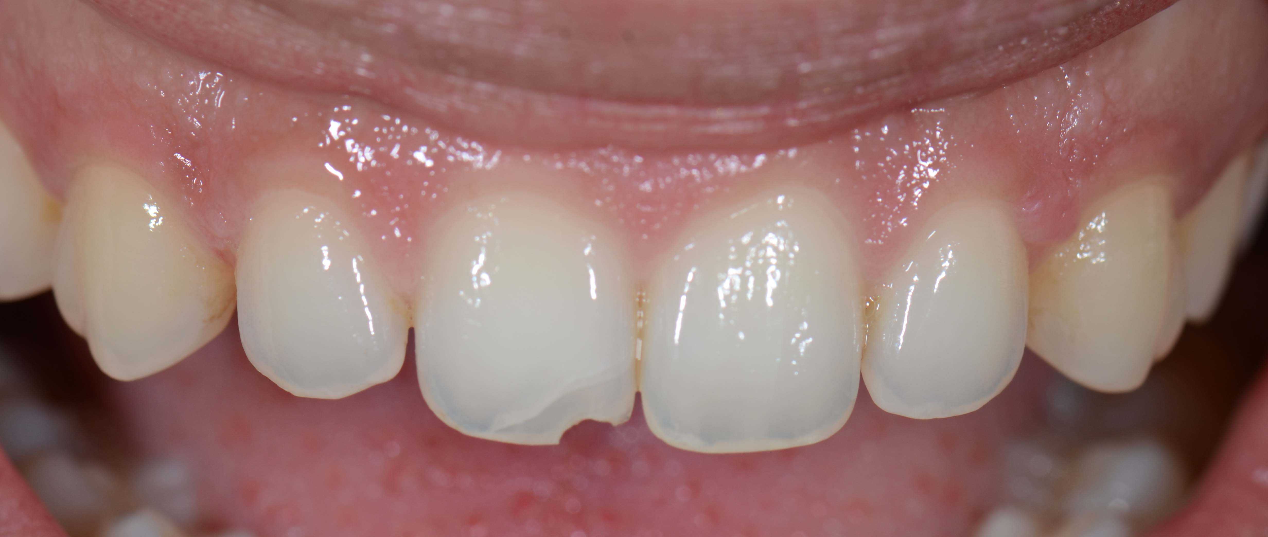
First Appointment
All information necessary to diagnose are taken:
  • Clinical examination
  • Radiographies/X´Rays
  • Photos
  • Dental archs models
  • If necessary additional exames are taken (TAC)
After all information is taken a diagnosis is done and a treatment plan is discussed and decided in the patient´s best interest. 

After that the treatment plan is given with the correspondent estimate.
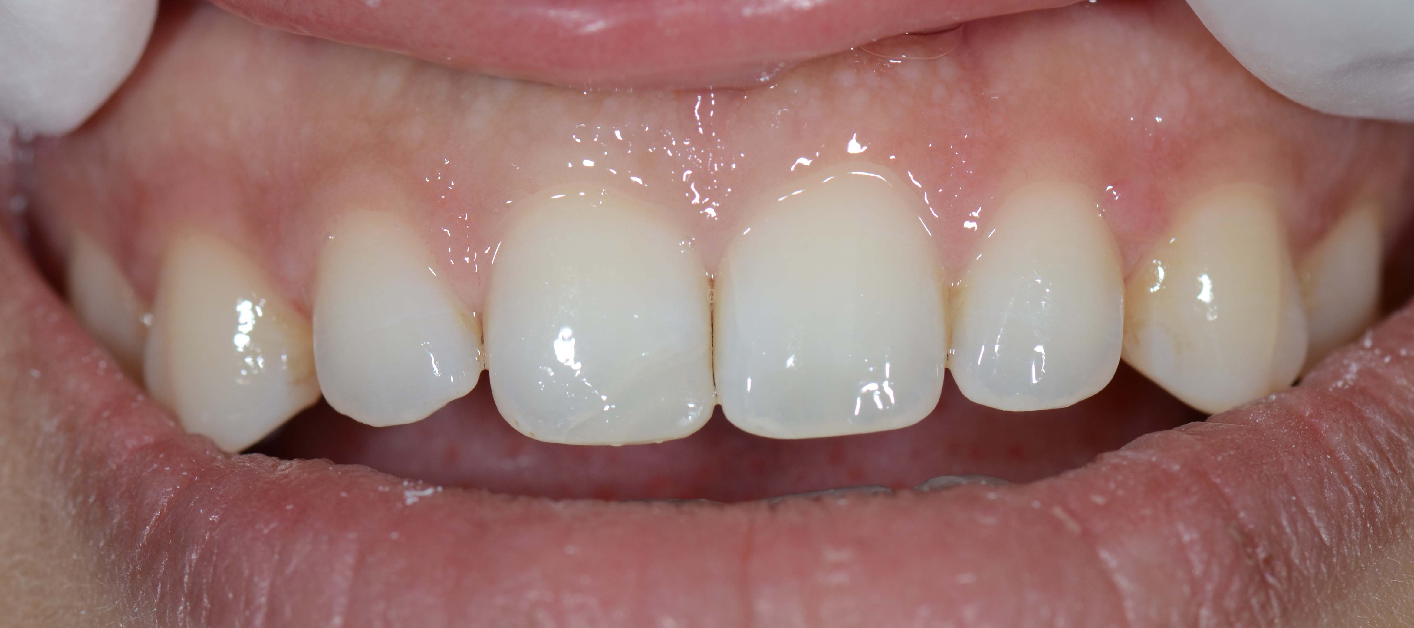
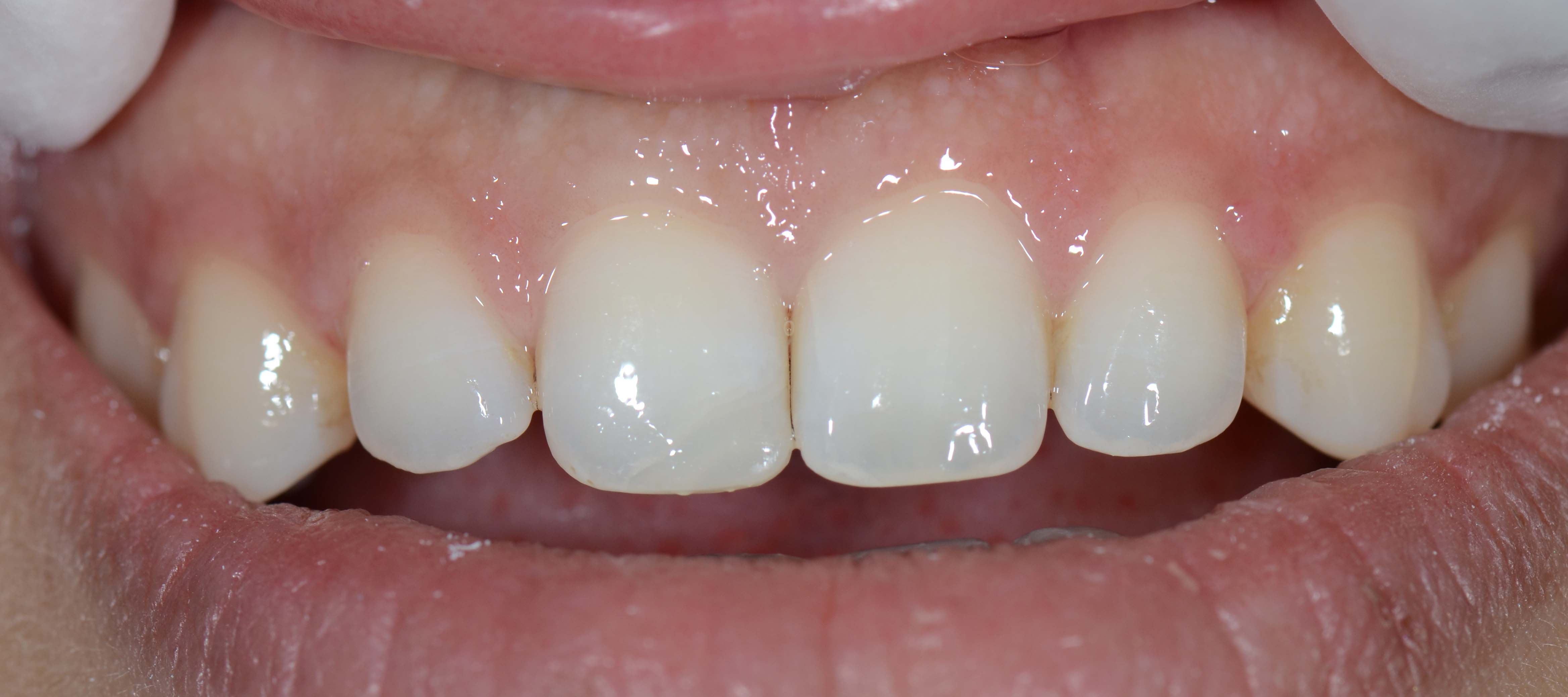
Urgent treatments are executed if necessary as in the case on the left.
 
SOS