Home
Clinic
About Us
Appointments
Scientific Area
FAQS
Complaints book
Endodontic Center
Endodontic Center - Info
Staff
Services
Contacts
menu
Appointments
close
Home
Clinic
About Us
Appointments
Scientific Area
FAQS
Complaints book
Endodontic Center
Endodontic Center - Info
Staff
Services
Contacts
Appointments
Fixed Prosthesis
Clinical cases
Go back
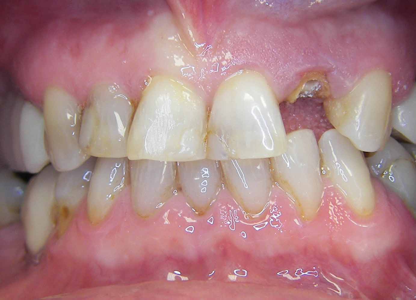
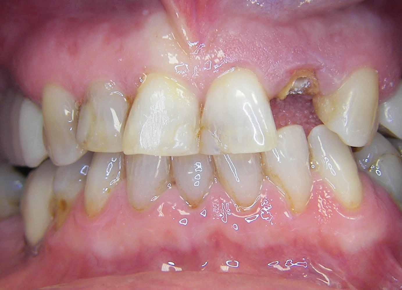
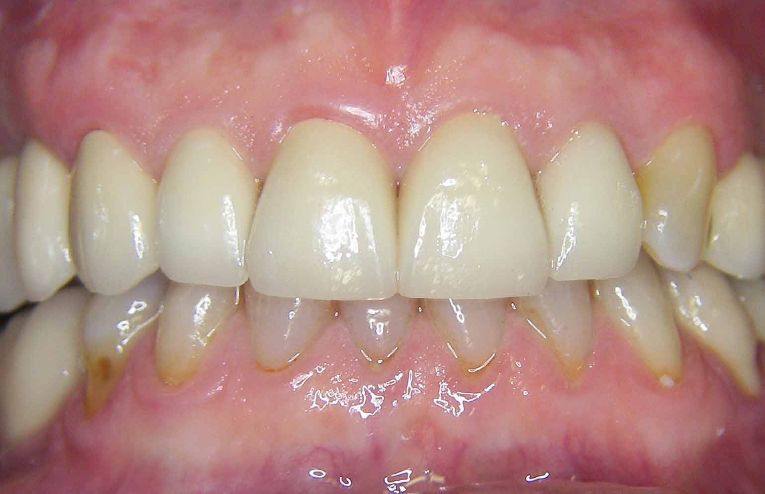
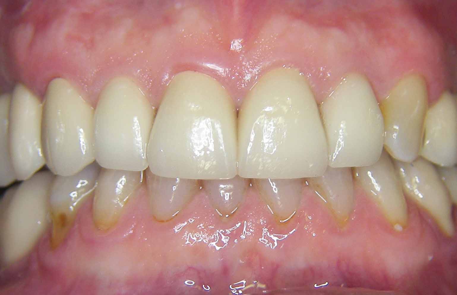
Ceramic Crowns
Upper anterior teeth with fixed crowns made of all ceramic
SOS