Oral rehabilitation

Clinical cases

Rehabilitation with Ceramics
Ceramic Crowns over teeth and implants

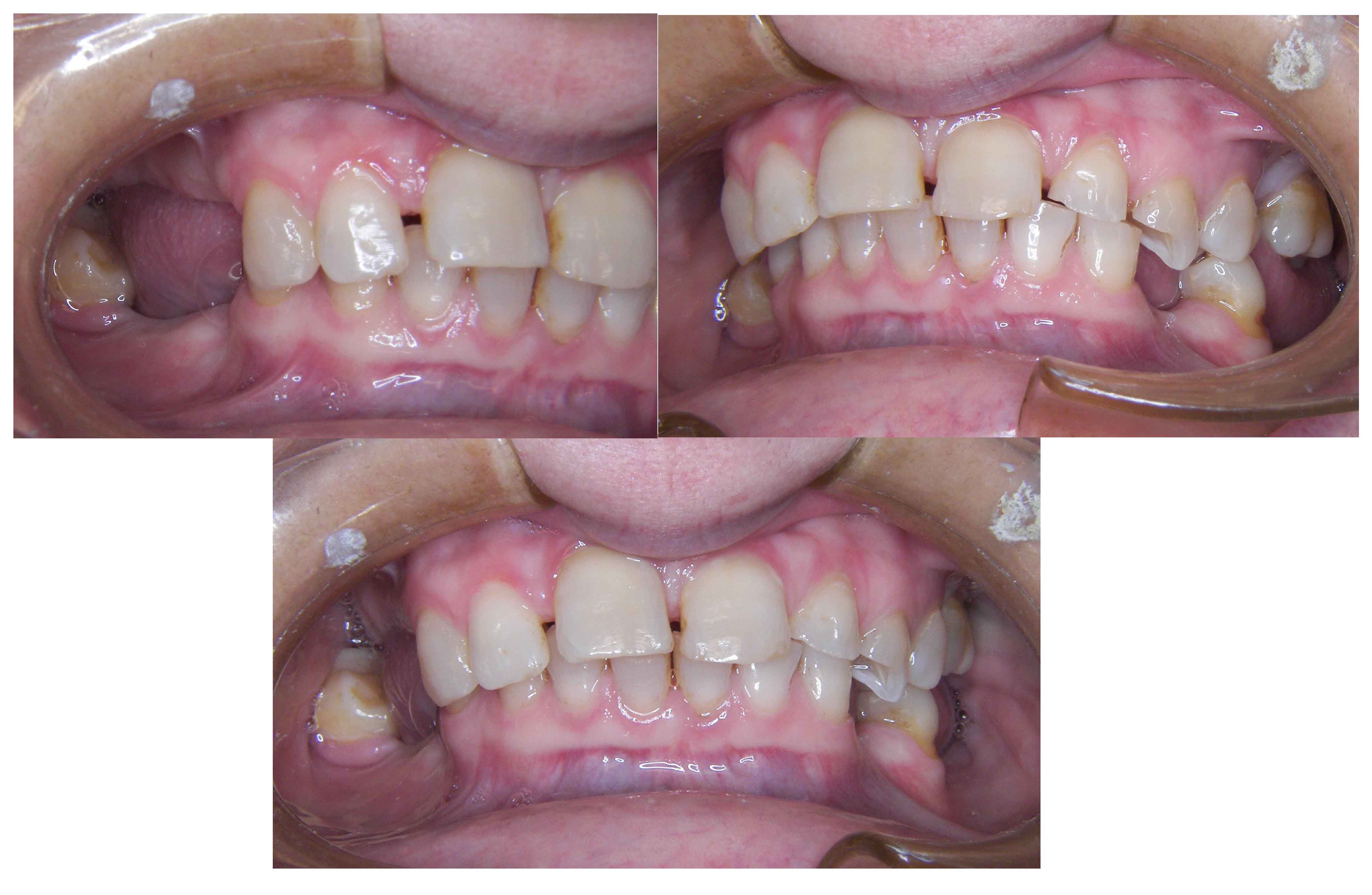
Patient with limited functions and serious aesthetics problems.
 
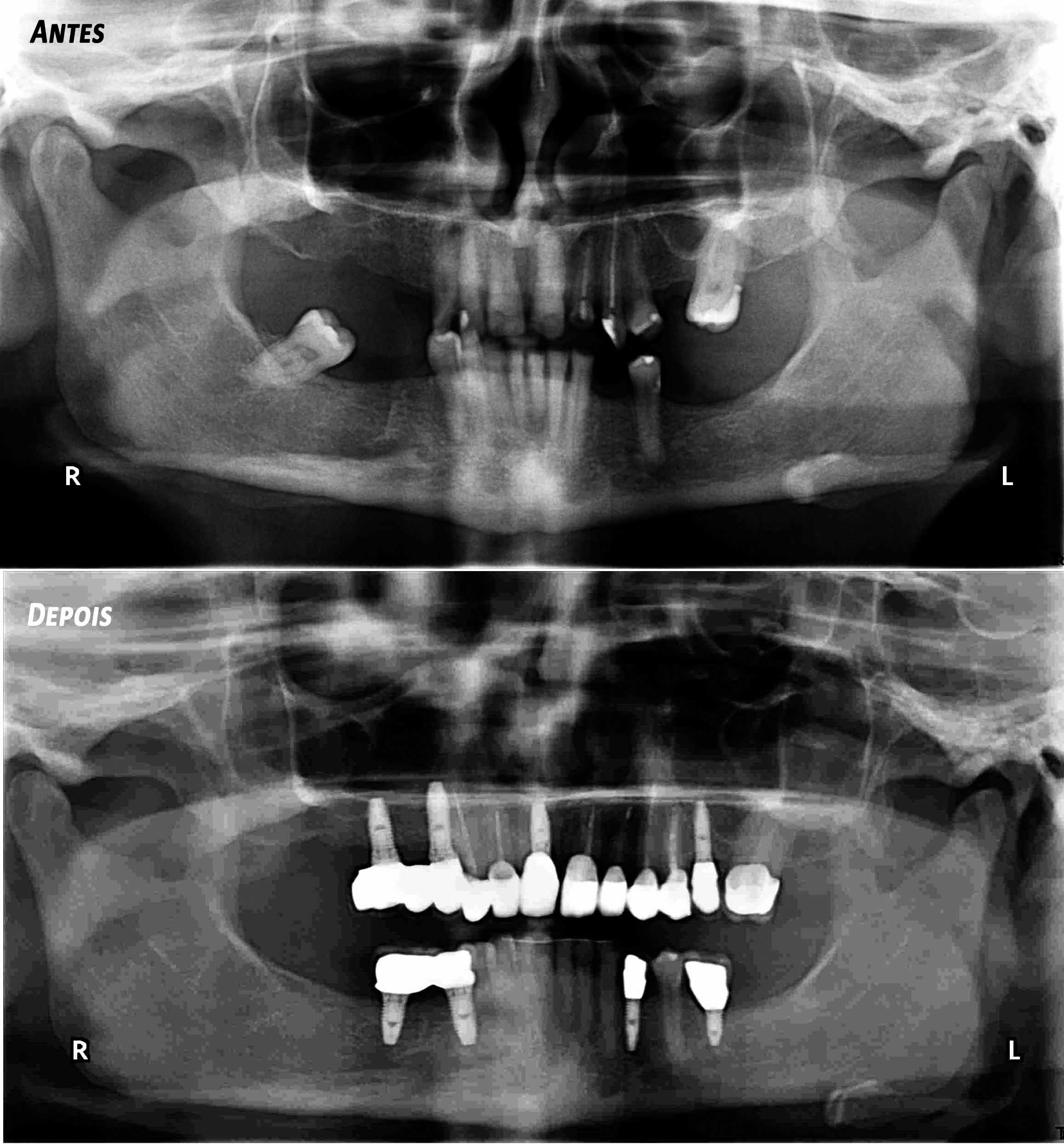
Complex Rehabilitation – The Treatment:

The natural teeth that had a good prognosis were kept and the ones that needed their position changed were moved by a fixed orthodontic brace.

Afterward a surgery was made to place some implants. The treatment was finalized by placing the ceramic crowns over the implants and teeth.
 
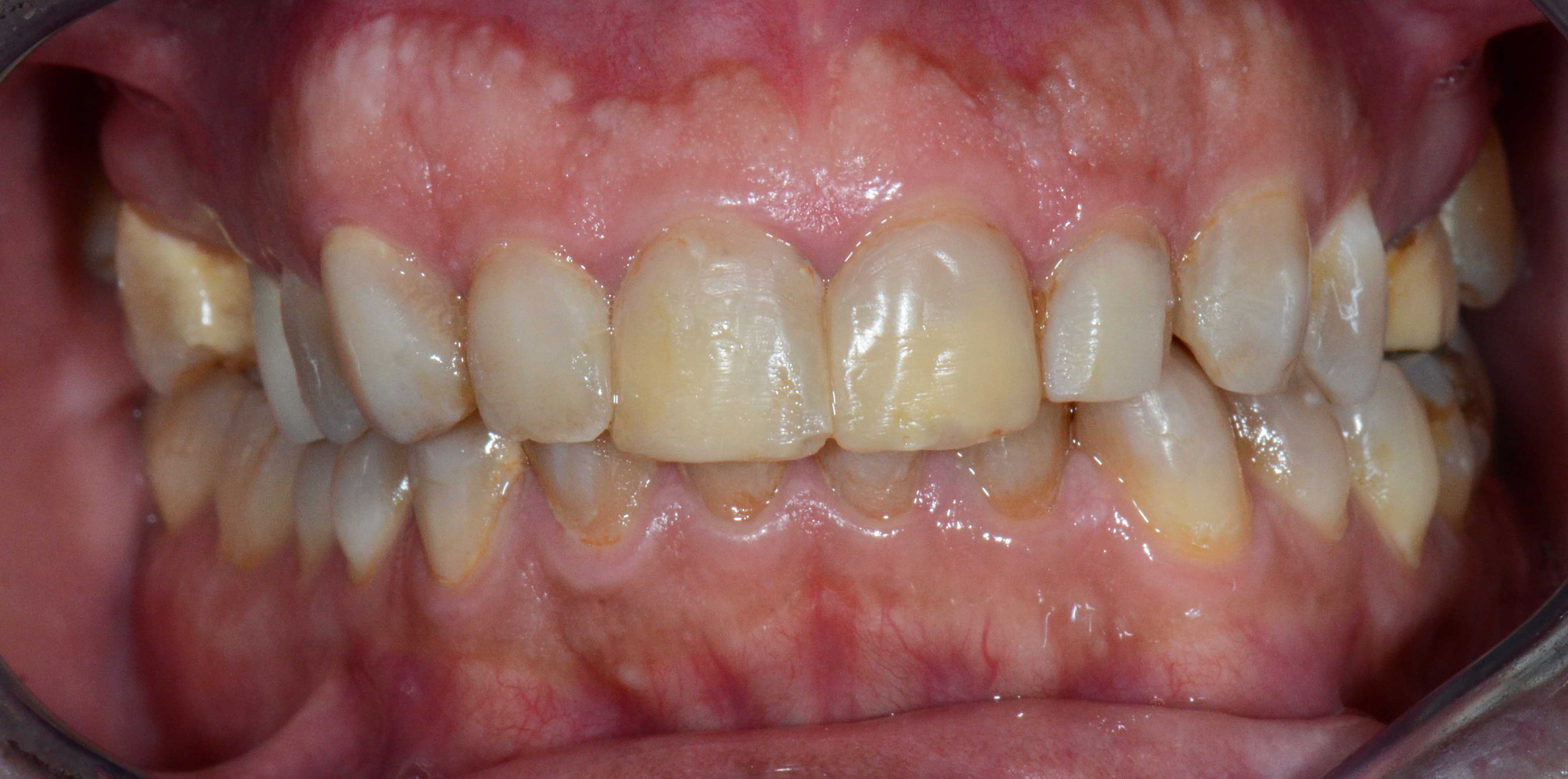
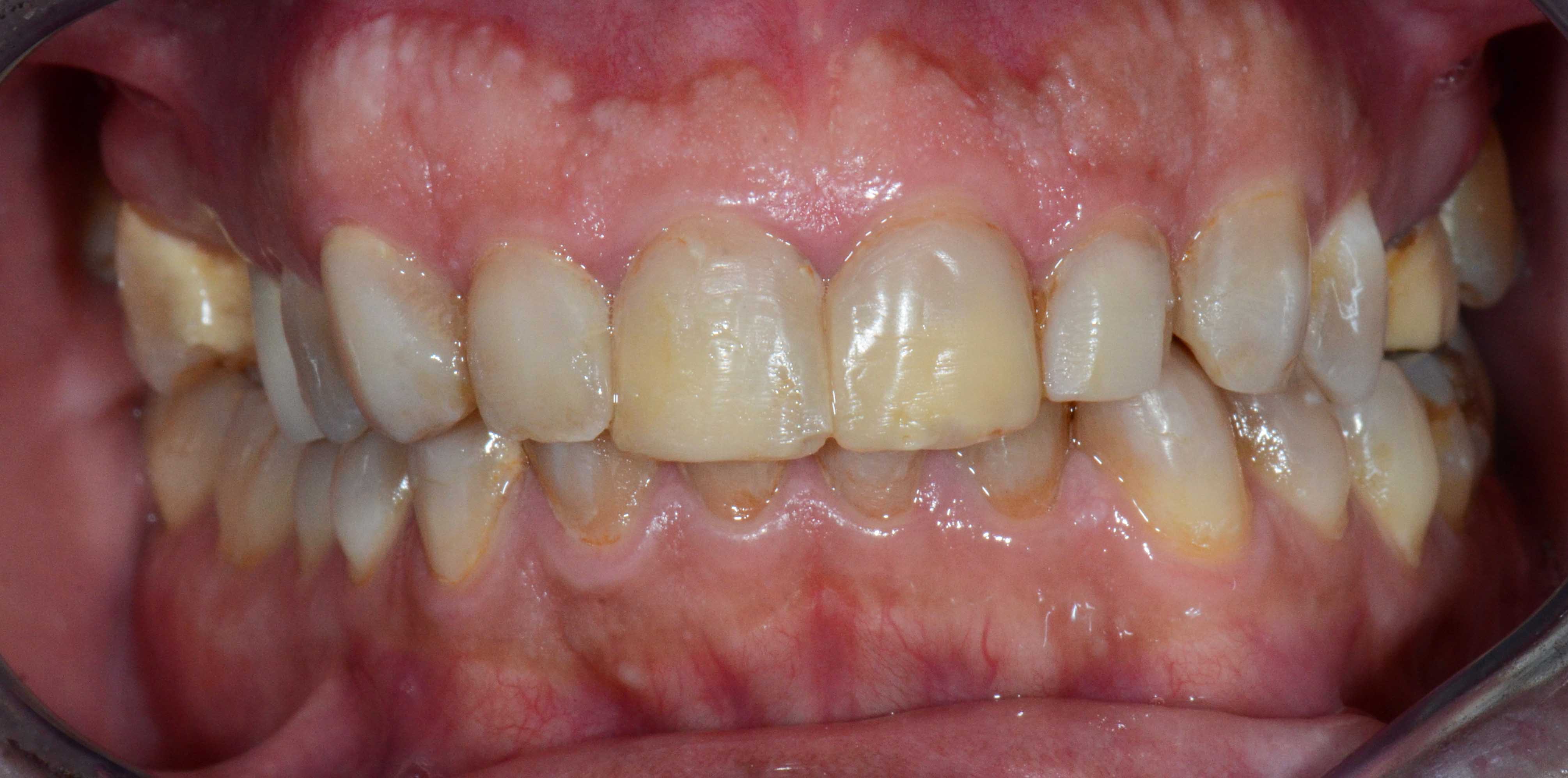
Tooth discoloration caused by tetracyclines
Aesthetic Rehabilitation with ceramic crowns and venners

Main problem:

Colour changes due to the use of tetracyclines as a child. Various treatments were done before to try to solve the problem but all of them were unsuccessful.

The Treatment: 

Full crowns were opted to cover the teeth that were very damaged and venners were used to cover those who were less damaged and by doing this less natural tooth structure was damaged.
SOS