Orthodontics

Clinical cases

Invisalign - Invisible Braces
This technique allows orthodontic correction of the teeth without the use of brackets or elastics in most of the cases.

Invisalign aligners are almost invisible and because they are removable the oral hygiene is easier to do than conventional braces.

When this type of appliance is recommended the treatment is very effective and it´s easier to use by the patient than conventional braces as well as being a great alternative to the use of brackets.

Ask for an opinion to our orthodontics team.
 
Early Orthodontic Treatment
To most of the children with orthodontic problems, braces are not advised if permanent teeth are still not present (before ages 10-12).

That is justified by various reasons:
  1. Makes the treatment longer (years) and demotivates the child and family;
  2. It can increase the chance of developing decays and decalcifications because wearing braces makes it more difficult to do good oral hygiene therefore by using braces for longer increases the chances of poorer hygiene;
  3. Most of the time is completely unnecessary.
However early intervention is might be required in very specific cases.

In some complex cases after discussing the pros and cons an early orthodontic treatment is advised.

In cases like this, the treatment starts at around age 7 when the child presents a mixed dentition (baby and permanent teeth). The aim is to improve facial growth and to encourage the permanent teeth to come thru in a specific way. This will make the orthodontic treatment planned at age 10 to 12 better straight forward and predictable.
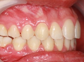
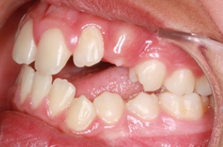
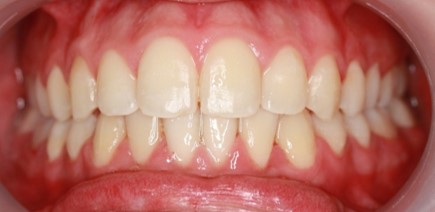
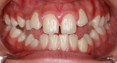
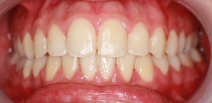
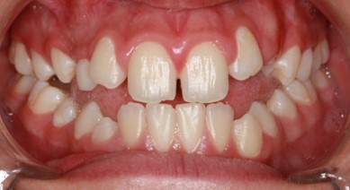
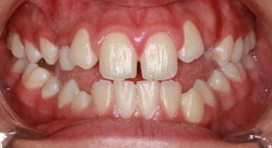
Fixed Braces
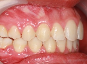
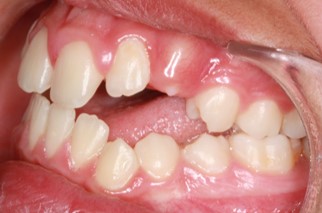
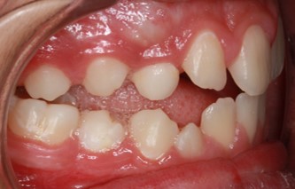
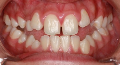
12 year old female patient (at the beginning of the treatment)

Orthodontic problem presenting an open bite, aesthetic and functioning problems (speech, chewing, etc) and psychological problems (self-esteem).

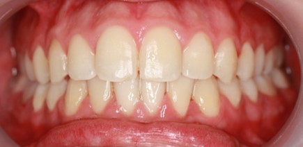
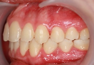
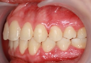
Treatment lasted for two years and a half.
SOS